Lees de krant online
Ledenacties
Voordelen lidmaatschap
Registreer
Log in
Welkom [alias]
Mijn instellingen
Log uit
Voorpagina
Nieuwsbronnen
DeBeurs
Discussies
Carrière
Mijn Pers
Reizen
0 km
6°C
AEX:
199,50
Binnenland
Buitenland
Cultuur
Economie
Entertainment
Opmerkelijk
Sport
Wetenschap
Columns
Video
Uitleg DePers.nl
Nikkelen slang zwemt in oersoep
Door: Mark Zaremba
Gepubliceerd: vrijdag 6 maart 2009 14:06
Update: vrijdag 6 maart 2009 16:58
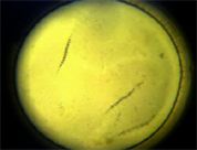
Kleine deeltjes van de metaalsoort nikkel zijn gaan
'leven'
in een laboratoriumopstelling in Illinois, Verendigde Staten. Dat meldt www.wired.com vrijdag.
Onder invloed van een wisselend magnetisch veld vormen de deeltjes rondzwemmende 'slangen'. De kronkelende sliertjes leven niet echt, maar ze lijken zich wel zo te gedragen.
Door de omstandigheden aan te passen kunnen behalve de slang nog andere soorten gemaakt worden, zoals een 'visje' (zie de filmpjes hieronder).
De wetenschappers die dit ontdekten, Alex Snezhko en Igor Aronson, proberen te begrijpen hoe de natuur zichzelf ordent. Ze zien gelijkenissen in schapenkuddes en vissenscholen in de manier waarop de verspreide nikkeldeeltjes tot elkaar komen in een zichzelf bewegend object.
,,Het lijkt alsof er algemene regels bestaan die het gedrag van dingen in groepen beschrijven, maar het is niet bekend hoe dat werkt." De onderzoekers willen door deze complexe systemen te bestuderen meer leren over de oersoep, waaruit het leven op Aarde ontstond.
Trefwoorden:
slang
,
nikkel
,
oersoep
Blijf op de hoogte van:
slang
nikkel
oersoep
Login
of
registreer
voor alerts
Bewaar
Stuur door
Print
Meer nieuws wetenschap
Volgend bericht >
14:06
Nikkelen slang zwemt in oersoep
08:11
72 miljoen jaar oude zeeschildpad
13:28
Kwade robotlerares schrijft afwezigen op
12:07
Rotte tanden bij peuters
23:53
Redding voor de kouwe kip
23:51
Afspraken maken corrigeert drankzuchtig gen
23:50
Koppige strijder geeft zijn gevecht op
19:50
'Vet aan de binnenkant ook gevaarlijk'
Login
of
registreer
om te reageren
Deze newsflash is alleen te bekijken met de
gratis Adobe FlashPlayer!
De Pers Reizen -
Spot de laatste aanbiedingen!
GRATIS
Abonnement & contract ALARM!
Deal-Alarm -
Elke week de vier beste deals!
Spaarrente.nl -
7% spaarrente?
Beleggen op de beurs?!
Vanaf € 1,75!
Wijndeal
- Elke week een nieuwe topper
De nieuwste GSM's zijn er, alles GRATIS!
e-Matching.nl -
Dating hoger opgeleiden
Gratis Wii + Wii Fit, € 18,00 p/mnd
De Betere Wereld - bewust leven & genieten!
Gratis iPod bij uw uitvaartverzekering!
Hilversum uit, Powned aan!
Laat je beste vriend(in) een blinddate regelen!
© 2008 Copyright DePers.nl